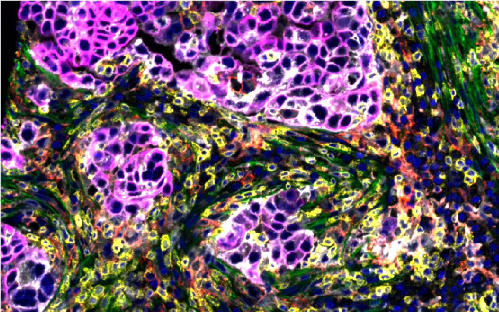
Photo: The complex tumor microenvironment in a high-grade serous ovarian tumor, with tumor cells (purple), immune cells (yellow) and stroma (green).
Research teams from The Netherlands, Finland, Belgium and the USA have together unveiled a detailed map of how cancer and immune cells interact in high-grade serous ovarian carcinoma, the most aggressive form of ovarian cancer. By analyzing tumor samples from 280 patients, the team created an unprecedented single-cell atlas that reveals how the tumor microenvironment influences patient outcomes and response to immunotherapy.
Using advanced imaging, molecular profiling and AI, the researchers examined nearly 1,000 single-cell maps, capturing how individual cells are organized within metastatic tumors and how they communicate. They found that patients whose tumors showed strong immune cell co-infiltration at the tumor-stroma boundary tended to have better clinical outcomes.
A particularly striking discovery was the role of MHC class II. “We did not expect this”, says group leader Hugo Horlings from the Netherlands Cancer Institute. “This molecule is widely expressed by immune cells, and found in some other cancer types. We now show that ovarian cancer cells can also display this signal.”
High tumor MHC class II expression was strongly associated with longer survival and a more active immune response. Further experiments using patient-derived tumor models showed that tumors expressing MHC class II responded more effectively to PD-1 immunotherapy, activating cancer-killing CD8⁺ T cells. Blocking MHC class II reduced this immune response, highlighting its central role in anti-tumor immunity.
“For the first time, we can see how the spatial organization of immune cells within ovarian tumors directly relates to patient survival,” says co-lead author Anniina Färkkilä. “Our findings suggest that MHC class II could help identify patients who are more likely to benefit from immunotherapy and open new avenues for more personalized treatment strategies.”
Research at the NKI is financially supported by KWF Dutch Cancer Society and the AVL Foundation.